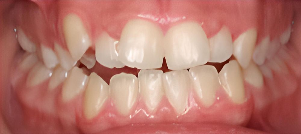
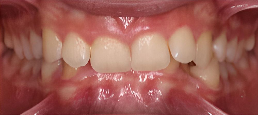
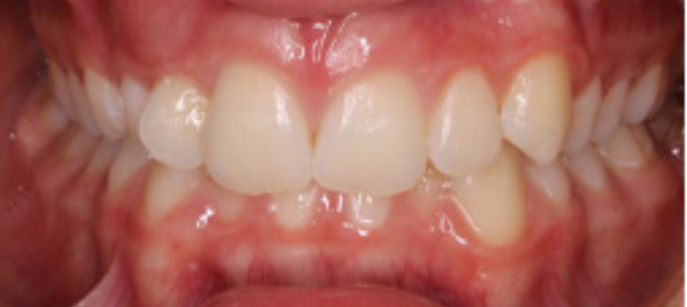
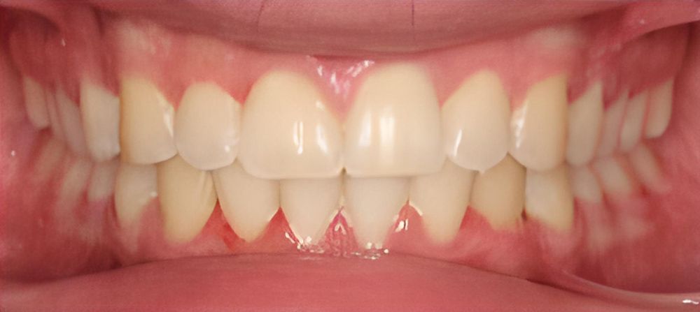
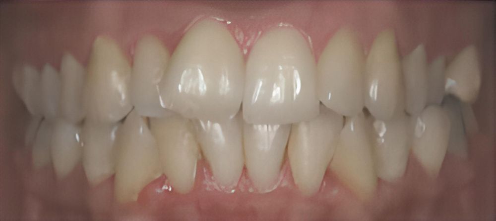
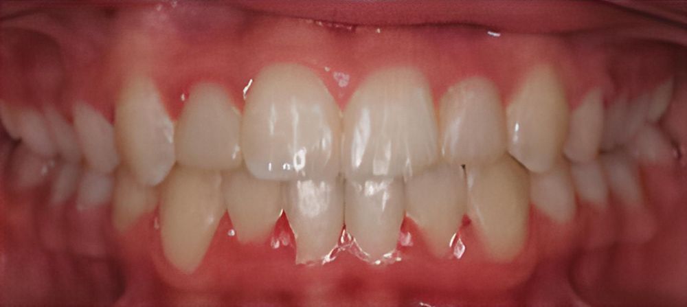
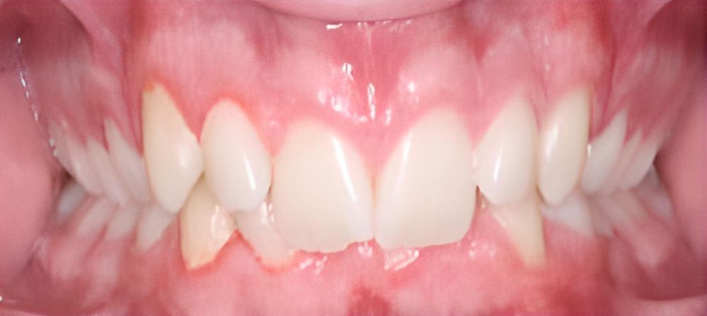
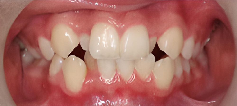
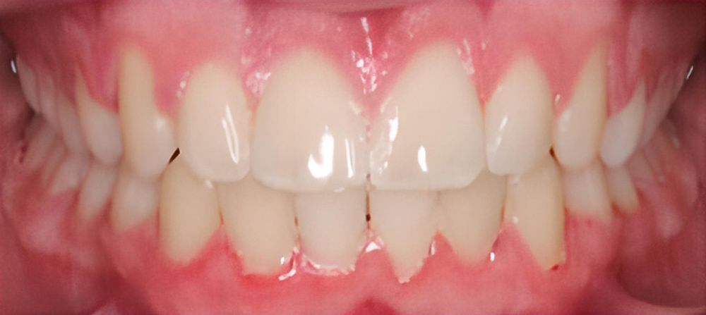
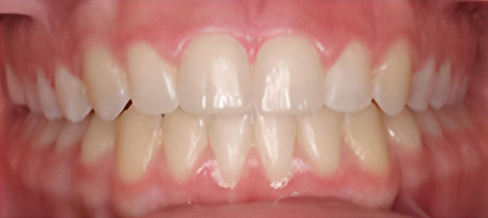
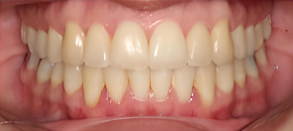
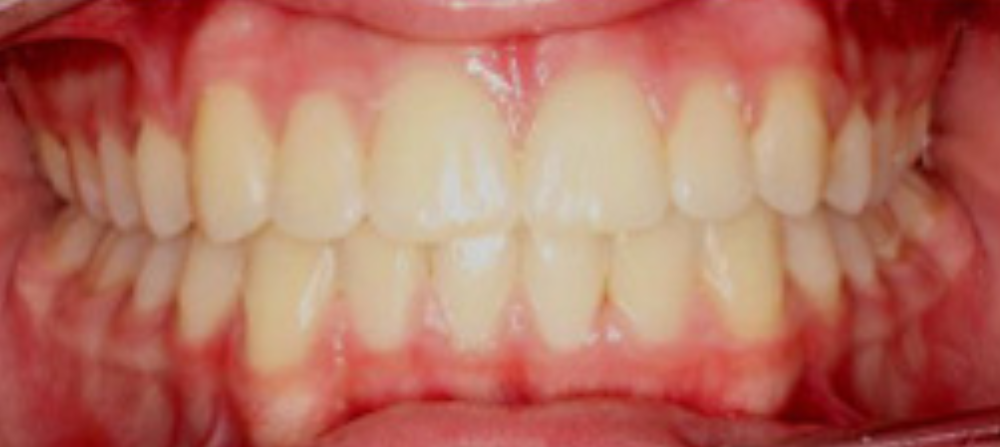
Before & After

View by sliding between the “before” and “after” images. 

prince-orthodontics-gallery-02-before-1920w prince-orthodontics-gallery-02-after-1920w
prince-orthodontics-gallery-03-before-1920w prince-orthodontics-gallery-03-after-1920w
prince-orthodontics-gallery-04-before-1920w prince-orthodontics-gallery-04-after-1920w
prince-orthodontics-gallery-06-before-1920w prince-orthodontics-gallery-06-after-1920w (1)
prince-orthodontics-gallery-05-before-1920w prince-orthodontics-gallery-05-after-1920w
Crooked Teeth Before & After Crooked Teeth Before & After